
The Ayr Family Dental Teeth Cleaning and Polishing Experience
If you’re looking for teeth cleaning and polishing, at Ayr Family Dental, you will be receiving the best care that our team takes pride in. Our friendly dentist, Dr. Pawan, is known in the Ayr community for his gentle and caring approach to his patients.
How is it done?
Our dental team will sit down with you and ask you about your dental health history. An examination will be conducted to see if there are any dental problems or diseases that need to be treated. It is important to us that you are made comfortable and at ease throughout the process.
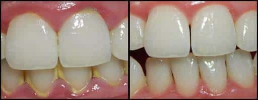
Food debris and plaque will be scraped off and removed from those hard-to-reach areas of your teeth and gums. A polishing instrument will then be used to scrub off any remaining stains from your teeth’s surface to prevent tartar from building up and causing tooth decay.
A regular teeth cleaning and polishing procedure is a relatively quick and painless process but has huge benefits on your dental health. Depending on your dental examination results, Dr. Pawan will create a treatment plan for you which he will discuss in detail for your understanding.
Customers share their experience
Where can you find us
We are conveniently located in Ayr, Queensland so you can easily come visit us.
We would be happy to discuss our packages with you in detail.
Look for our dentist, Dr. Pawan, or our dental assistant.
- 187 Queen St, Ayr QLD 4807, Australia
- (07) 4783 1011
- [email protected]
Yes, we support payments with:
